Veneers
Bei dem Veneer handelt es sich um eine vollkeramische Verblendschale, die gerne zu kosmetischen Korrekturen bei Frontzähnen angewandt wird.
Hat sich zum Beispiel ein Zahn dunkel verfärbt,
hat man eine große Lücke zwischen den Frontzähnen,
Zahnfüllungen im sichtbaren Bereich,
oder hat man sich vielleicht bei einem Unfall mit den Inlinern ein Stück Zahn ausgeschlagen?
Problemfälle, die mit Veneers zu lösen sind.
|
|
|
Hier wird die Möglichkeit geboten, dieses perfekt zu restaurieren, ohne dabei den ganzen Zahn abschleifen zu müssen.
Es wird lediglich die vordere Facette des Zahnes minimal angeschliffen und die angepasste Verblendschale mittels eines Spezialklebers darauf befestigt.
In manchen Fällen – wie z.B. sehr kleinen, nach hinten stehenden Zähnen – kann sogar gänzlich auf das Beschleifen verzichtet werden, wenn es zahnmedizinisch möglich ist. Es wird dann der Zahnschmelz mittels einer Flüssigkeit angeraut und das Veneer direkt darauf befestigt.
In Hollywood ist diese Technik Gang und Gebe. Große Stars greifen gerne auf diese einfache Methode zurück, um sich mit minimalem Aufwand zu einem strahlenden Lächeln zu verhelfen.
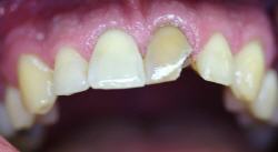
Arbeitsablauf an einem Beispiel
|
|
|
| Ausgangssituation: Stark verfärbter Frontzahn. | Zahn nach dem Abschleifen. | Das Ergebnis: Die Patientin hat wieder gut Lachen. |





