Textversion

Sie sind hier:

Festsitzender Zahnersatz

Implantate

Veneers

Inlays

Kronen

Brücken

Herausnehmbarer Zahnersatz

Vollkeramik

Suchen nach:

Allgemein:

Startseite

Gästebuch

Datenschutz

Kontakt

Wegbeschreibung

Impressum

Haftungsausschluss

Ist ein Zahn weitgehend zerstört, aber dennoch fest im Kieferknochen verankert, kann er erhalten werden, indem man ihn überkront.

In diesem Fall schleift der Zahnarzt die sichtbare Zahnkrone ab, um Platz zu schaffen für die Krone, die dann den Restzahn schützen soll und die Kaufunktion wieder herstellt.

Es gibt verschiedene Varianten der Einzelkronen:

Die Vollguss – Krone:

Diese rein aus Metall hergestellte Krone ist die älteste Form der Gusskrone. Sie wird vom Zahntechniker auf dem Gipsmodell in Wachs modelliert, im Gussverfahren in Metall überführt und von Hand nachgearbeitet.
Man kann diese Krone in einer Goldgusslegierung oder einer silberfarbenden Nicht – Edelmetall – Legierung (NEM) anfertigen.

Nachteil dieser ansonsten sehr haltbaren Krone ist die Optik und das Metall, das mit anderen im Mund befindlichen Metallen und Amalgam - Füllungen minimale Ströme erzeugen kann. Diese können nachweislich Krankheiten wie Migräne und Speiseröhrenreizung hervorrufen und führen zu einem metallischen Geschmack im Mund.
Auch ist der Materialwert bei einer Goldkrone durch den immer steigenden Goldpreis schwer kalkulierbar.

Die Metall – Keramik – Krone:

Wünscht man sich eine zahnfarbende Krone, so war es bis vor einiger Zeit nur möglich, eine Metallkappe mit zahnfarbendem Kunststoff oder Keramik zu verblenden.
Da Kunststoff an Haltbarkeit und Bioverträglichkeit sehr zu wünschen übrig ließ, setzte sich die mit Keramik verblendete Krone in der Vergangenheit durch und wird auch heute noch überwiegend eingesetzt.

Eine Metall – Keramik – Krone kann sowohl komplett verblendet sein, als auch nur zu einem Teil, wie es mittlerweile die Kassenrichtlinien vorsehen.
Im Kassenfall wird – wie bei der Vollgusskrone – auf dem Gipsmodell eine Krone aus Wachs hergestellt, bei der im sichtbaren Bereich Platz gelassen wird für das Verblendmaterial, so dass an dieser Stelle nur ein dünnes Metallkäppchen mit verkleinerter Zahnform den Zahnstumpf überzieht.
Nach dem Guss und der Überarbeitung wird auf dieser Fläche dann Keramikpulver in den verschiedenen Schichten aufgebrannt und immer wieder überarbeitet und korrigiert, bis die Verblendschale auf der Krone die richtige Form hat.
Will man aber nun eine vollständig verblendete Krone, wird lediglich ein dünnes Wachskäppchen auf dem Zahnstumpf des Gipsmodells hergestellt und nach dem Gussverfahren komplett mit Keramik aufgebrannt.
Diese Krone ist in Optik und Haltbarkeit der teilverblendeten Metallkeramikkrone vorzuziehen, da die Haltbarkeit der Keramik der voll verblendeten Krone höher ist als die der Teilverblendeten.

Eine Metallkeramikkrone kann sowohl in einer Goldgusslegierung, als auch in einer NEM – Legierung angefertigt werden.

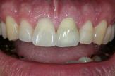
Vollkeramikkrone:

Die optisch ansprechenste Krone ist nachweislich die Vollkeramikkrone. Auch in Haltbarkeit und Bioverträglichkeit ist sie für alle Gesundheitsbewussten die erste Wahl.
Auch hier wird ein Hartkern – Gerüst aus einem vollkeramischen Material hergestellt und wie bei einer voll verblendeten Metallkeramikkrone mit Keramik individuell aufgeschichtet.
Preislich bietet die Vollkeramikkrone gegenüber der Metallkeramikkrone mit Goldgerüst eine echte Alternative.
Von der Haltbarkeit her blicken die Materialien der heutigen Vollkeramikgeneration schon auf 15 Jahre Langzeiterprobung zurück.
Man kann daher mit gutem Gewissen sagen, dass sie an Haltbarkeit einer Metallkeramikkrone in nichts nachstehen.
In meiner Extra – Rubrik „Vollkeramik“ gehe ich intensiv auf die Einsatzgebiete, Fertigung und Vorteile ein.

Abruck  Arbeitsmodell  Fertiges Käppchen 
Vorher  Nachher  Paradebeispiel: Wo ist die Krone